A patient of age 25 years presented to our hospital with complaint of malaligned teeth, forwardly placed lower jaw and inability to close her mouth completely. She also stated that she had speech difficulty along with difficulty in chewing foods.
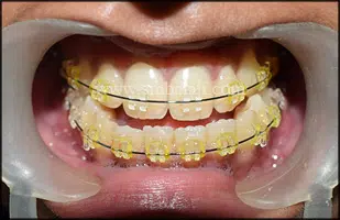
After thorough clinical and radiological examination, Maxillofacial Surgeon Dr. S. M. Balaji planned to correct her bite surgically by removing the mandibular excess. Presurgical orthodontic treatment was started and the teeth were aligned properly. Through intraoral approach, bilateral sagittal split osteotomy (short lingual split technique) was done and the excessive length of the mandible was reduced. This improved her appearance dramatically and she was overjoyed to have her teeth aligned and jaw corrected without any visible scars on the face. Her chewing efficiency and speech also improved drastically.



