A 23-year-old girl reported to our hospital seeking to correct her protruding and deviated lower jaw. She was discontent with her facial appearance and mentioned about her inability to chew food.
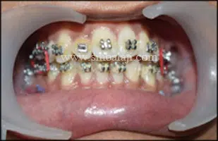
After thorough clinical and radiological examination, Maxillofacial Surgeon Dr. S. M. Balaji planned to correct her bite both orthodontically and surgically. Presurgical orthodontic treatment was started and the teeth were aligned. Through intraoral approach, bilateral sagittal split osteotomy (Obwegesers and short lingual split technique) was done and the excessive length of the mandible was reduced. The patient was beaming with joy on seeing the results as there was no visible post-surgical scar. Her speech and ability to chew food also improved markedly.


